おおの小児矯正歯科

歯を白くする治療|下関市観音崎町の矯正歯科|おおの小児矯正歯科

ご予約・お問い合わせ 083-234-8181

〒750-0012 山口県下関市観音崎町11-8

歯を白くする治療
  • HOME
  • 歯を白くする治療

歯を白くする治療には色々あります。ご要望や歯の状態などで治療の方法が異なります。当院では患者さんが納得できるような治療方法をご提案いたします。

歯を白くしたい
何がどのように気になるかご相談下さい。
オリエンテーション
一人ひとりに合った「歯を白くする治療」の説明をします。
診察・検査
むし歯や歯周病などでも歯の色が悪く見えることがあります。
まずは診察・検査して患者さんのご要望にあったプランをご提案します。
歯周病治療、むし歯治療
パウダークリーニング、歯科矯正治療など
むし歯や歯周病の治療、そしてパウダークリーニングを行うと歯はある程度白くなります。更に白くしたい場合はホームホワイトニング 、ウォーキングブリーチ、白い被せ物などの治療を行います。
パウダークリーニング
水と空気とパウダーを同時に噴射することで歯の汚れを除去します。
治療前
治療後
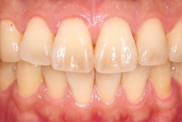
ホームホワイトニング
歯を削らずに白くする処置で薬剤を用いて歯を漂白します。
治療前
治療後
ウォーキングブリーチ
神経を抜く治療で黒ずんでしまった歯に薬剤を用いて漂白します。
治療前
治療後
かぶもの白い被せ物
(オールセラミック治療)
歯を削って、白いセラミックで作った被せ物を装着する治療です。
治療前
治療後

定期健診

パウダークリーニング

パウダークリーニングとは、研磨剤、重炭酸ナトリウム、グリシン、酸化アルミニウムなどの粒子を、圧縮空気により水と同時に噴射することで、歯に付着したバイオフィルムやステイン(歯の汚れや着色)を除去する治療法です。

(株)松風:メルサージュ エピック 2in1
バイオフィルム:微生物の共同体
水分を帯びたあらゆる物質の表面に付着した、膜状に形成される微生物の共同体です。口の中においては、バイオフィルムの病原性細菌が関与することで 「 むし歯 」や「 歯周病 」に感染します。

パウダークリーニングの言葉の変遷

パウダークリーニングには、色々な言い方があります。

1.エアアブレーション
2.エアポリッシング
3.パウダーメインテナンス
4.エアフロー
5.パウダークリーニング

現在、パウダークリーニングが一般名として定着されつつあります。

パウダークリーニングでできること

1. 歯の表面のバイオフィルムやステインの除去
2. 歯周ポケット内(歯と歯肉の境目)や根っこの分岐部のバイオフィルムの除去
3. 詰め物や被せ物で歯ブラシなどが届きにくい部分の清掃
4. 歯科矯正装置周辺の清掃
5.インプラント周辺の清掃

パウダークリーニングができない人

1. 重篤な呼吸器疾患:上気道感染、慢性気管支炎、喘息がある方
2. 肺機能障害がある方
3. 重篤な消化器官潰瘍がある方
4. 腎障害がある方
5. 妊婦、授乳婦
6. 口腔粘膜に炎症がある又は、炎症を起こしやすい方
7. 口腔内に外傷や化膿している所がある方

副作用

歯肉へのダメージ、アレルギー反応を引き起こす場合があります。

症例紹介

治療前
治療後

患者の年齢・性別:40 歳、男性
主訴:歯の着色が気になる
治療方法:パウダークリーニング
処置前に行う事前処置:なし
検査及び診断結果:歯の着色
治療計画:パウダークリーニングによる歯の着色除去
どのような患者に対して治療を行ったのか:元々の自分の歯の色に戻して欲しい患者に対して
治療時間:約 30 分
治療回数:1 回
実際にかかった費用:¥ 3,300 (保険適用)
主なリスク、副作用:歯肉へのダメージ、気腫

ホームホワイトニング

歯みがきや医院で行うクリーニング、パウダークリーニングなどで落としきれない歯の黄ばみを、薬剤を利用して白くする方法です。オフィスホワイトニングは歯や歯肉へのダメージが大きいので、当院ではホームホワイトニングを行っています。

ホームホワイトニング:自宅で行うホワイト二ング
マウスピースを作り、その中にホワイトニング用の薬剤を入れて、歯を白くする方法です。

オフィスホワイトニング:歯科医院で行うホワイトニング
ホワイトニングの薬剤に、特定の波長の光を当てることで歯を白くする方法です。

ホームホワイトニングとオフィスホワイトニングの比較

ホームホワイトニング オフィスホワイトニング
漂白作用 自然な白さ 人工的な白さ
色の後戻り 少ない 多い
歯、歯肉へのダメージ 小さい 大きい
知覚過敏 小さい 大きい

どうして歯が白くなるの?

歯の色は黄色っぽい色をしています。それは象牙質(黄みがかった色)がエナメル質(半透明)を通じて透けて見えるためです。ホワイトニングで歯が白くなるのは、ホワイトニングの薬剤に使用する過酸化尿素が、歯に接触すると水と酸素に分解され、その時に発生する酸素がエナメル質の着色物を無色透明に変化させ、象牙質の色が透けないようにするからです。

次のような人におすすめです

1.加齢に伴う変色歯
2.遺伝的な黄ばみ
3.外因性の着色歯(コーヒー、お茶、タバコなど)
4.変色が軽度で形成不全を伴わないテトラサイクリンによる変色歯

ホームホワイトニングができない人

1.無カタラーゼ症がある方
2.妊娠、授乳婦
3.大きなむし歯や重度の歯周疾患がある方
4.知覚過敏がある方
5.エナメル質、象牙質形成不全歯がある方
6.重度のテトラサイクリンによる変色歯がある方
7.全身疾患がある方

副作用

歯肉へのダメージ、知覚過敏を生じる場合があります。

治療期間

約1か月間(約2週間毎来院)

料金

¥ 33,000(税込)
* 薬剤 1か月分の料金
* 治療期間を延長する場合、追加で料金が発生します。

ホームホワイトニング後のメンテナンス

一度白くなった歯は再び汚れが沈着したり、色の後戻りがありますので、その予防のために定期的な管理(メンテナンス)が必要です。

症例紹介

治療前
治療後

患者の年齢・性別:23歳、女性
主訴:歯の黄ばみが気になる
治療方法:過酸化尿素を用いたホームホワイトニング
処置前に行う事前処置:歯石、着色除去、ホワイトニング用のマウスピース作製
検査及び診断結果:歯の色調の確認
治療計画:ホームホワイトニングで歯の色を明るくする
どのような患者に対して治療を行ったのか:歯の色を白くしたい患者に対して
  治療期間:1 か月
治療回数:2 回 (2週間毎来院)
実際にかかった費用:¥ 33,000 (税込)
主なリスク、副作用:知覚過敏

ウォーキングブリーチ

ホワイトニングは歯全体を白くするのに対して、ブリーチングは歯を1本単位で白くします。当院ではウォーキングブリーチを行っています。

ウォーキングブリーチとは、失活した(神経が死んだ)歯に薬剤を入れ、変色した歯を内部から白くする方法です。神経が死んだ歯に対しては、通常の歯の表面から行うホワイトニングではあまり効果が得られないため、そのような歯に対しては、ウォーキングブリーチが適しています。

使用薬剤

過ホウ酸ナトリウム、過酸化水素水など

次のような人におすすめです

失活した(神経が死んだ)永久歯で、変色歯がある方 * 高校生以上が対象です。

ウォーキングブリーチができない人

1. 妊婦、授乳婦
2. 使用する薬剤にアレルギー反応のある方

副作用

アレルギー反応や薬剤から発生するガスが原因で歯に痛みを生じる場合があります。

治療期間

約1~2 か月間(約1~2週間毎来院)

料金

¥ 11,000円(税込)
* 1歯分の料金

ウォーキングブリーチ後のメンテナンス

ウォーキングブリーチ後、白くなった歯は、時間の経過とともにもとの状態に戻りますので、定期的な管理(メインテナンス)が必要です。

症例紹介

治療前
治療後

ウォーキングブリーチ後、白い詰め物で治療

患者の年齢・性別:50 歳、男性
主訴:右上の前歯が黒ずんでいるのが気になる
治療方法:過ホウ酸ナトリウム、過酸化水素水を用いたウォーキングブリーチ
処置前に行う事前処置:根管治療
検査及び診断結果:失活歯(神経が死んだ歯)の変色
治療計画:ウォーキングブリーチ後、コンポジットレジン修復
どのような患者に対して治療を行ったのか:前歯の変色が気になる患者に対して
治療期間:2 か月
治療回数:4 回(2 週間毎来院)
実際にかかった費用:¥ 11,000 (税込)
         *ウォーキングブリーチのみの料金
主なリスク、副作用:歯の痛み

かぶもの
白い被せ物
— オールセラミック治療 —

オールセラミック治療とは、セラミックを使用して作った被せ物を装着する治療です。

治療の特徴

1. 金属を使用しないので審美性に優れている
2. 強度は金属よりも強い
3. 体にリスクの少ない材料なのでアレルギー反応を起こすことがない
4. バイオフィルムが付着しにくい

白い被せ物の種類と特徴

当院ではオールセラミック(ジルコニア・e-max)、CAD / CAM 冠を用いています。
診査、検査を行って、治療する部位などで被せ物のタイプを使い分けています。

  強度 審美性 透過性 バイオフィルム付着 体への影響
アレルギー反応
部位 治療回数 料金
オールセラミック
・ジルコニア
・e-max

付着しにくい

なし
前歯
臼歯
3 ¥ 88,000 ~ ¥ 110,000
CAD/CAM 冠
付着する

可能性あり
臼歯 3 保険

* CAD / CAM 冠 :健康保険適応の白い被せ物

オールセラミック治療後のメンテナンス

白い被せ物を行った歯は、定期的な管理(メンテナンス)が必要です。

症例紹介

ジルコニアを用いた被せ物< 前歯 >

治療前
治療後

患者の年齢・性別: 26 歳、女性
主訴:上の前歯( 2 歯)を白くして欲しい
治療方法:ジルコニアを用いた前歯被せ物
処置前に行う事前処置:歯周基本治療
検査及び診断結果:補綴物(被せ物)の不適合
治療計画:陶材焼き付け金属冠をジルコニアに変更
どのような患者に対して治療を行ったのか:上の前歯の色が気になる患者に対して
治療期間:1 か月
治療回数:3 回
実際にかかった費用:¥ 220,000 (税込)
         *ジルコニア 2 歯 ¥ 110,000 × 2 歯
主なリスク、副作用:知覚過敏


e-max を用いた被せ物< 臼歯 >

治療前
治療後

患者の年齢・性別:37歳、男性
主訴:奥歯の銀歯を白くして欲しい
治療方法: e-max を用いた臼歯被せ物
処置前に行う事前処置:なし
検査及び診断結果:銀歯による金属アレルギー症状
治療計画:銀歯を e-maxに変更
どのような患者に対して治療を行ったのか:金属アレルギー症状がある患者に対して
治療期間:1 か月
治療回数:3 回
実際にかかった費用:¥ 176,000 (税込)
         * e-max 2 歯 ¥ 88,000 × 2 歯
主なリスク、副作用:知覚過敏


ジルコニアを用いた被せ物< 臼歯 >

治療前
治療後

患者の年齢・性別:37 歳、男性
主訴:奥歯の銀歯を白くして欲しい
治療方法:ジルコニアを用いた臼歯被せ物
処置前に行う事前処置:なし
検査及び診断結果:銀歯による金属アレルギー症状
治療計画:銀歯をジルコニアに変更
どのような患者に対して治療を行ったのか:金属アレルギー症状がある患者に対して
治療期間:1 か月
治療回数:3 回
実際にかかった費用:¥ 220,000 (税込)
         *ジルコニア 2 歯 ¥ 110,000 × 2 歯
主なリスク、副作用:知覚過敏


ジルコニアを用いた被せ物< 臼歯 >

治療前
治療後

患者の年齢・性別:45 歳、男性
主訴:奥歯の銀歯を白くして欲しい
治療方法:ジルコニアを用いた臼歯被せ物
処置前に行う事前処置:なし
検査及び診断結果:齲蝕
治療計画:銀歯をジルコニアに変更
どのような患者に対して治療を行ったのか:齲蝕治療と同じ時期に銀歯をジルコニアに変更
治療期間:1 か月
治療回数:3 回
実際にかかった費用:¥ 110,000 (税込)
主なリスク、副作用:知覚過敏