- HOME
- 矯正治療例
上顎前突 ( 出っ歯 ) の治療
上の前歯が前に出ている状態
10才女性、上の前歯が出ていることを気にされて来院。矯正検査の結果、叢生および下顎骨劣成長を伴う骨格性上顎前突症例と診断。治療計画は、混合歯列期矯正 (Ⅰ期治療 ) と永久歯列矯正 (Ⅱ期治療 ) に分けて、 行う予定とした。Ⅰ期治療では、下顎骨の成長誘導を行い、Ⅱ期治療では、マルチブラケット装置を使用して、歯の排列を行った。
治療前



上顎前歯が突出して、前歯の咬み合わせが深い状態であった。
Ⅰ期治療開始



Ⅰ期治療では、FKO を使用して、下顎骨を成長誘導を行い、前歯の咬み合わせの改善を行った。
Ⅰ期治療終了



Ⅰ期治療終了時、治療前と比較して前歯の咬み合わせは改善した。今後は永久歯列完成後、Ⅱ期治療で対応する予定とした。
Ⅱ期治療中



Ⅱ期治療では、マルチブラケット装置を使用して、緊密な咬み合わせの獲得および前歯の咬み合わせの改善を行った。
Ⅱ期治療終了



Ⅱ期治療終了時、前歯の咬み合わせは改善された。上顎前歯の突出が改善しています。きれいな歯並びと咬み合わせが得られた。
| 年齢 | 10才、女性 |
|---|---|
| 主訴 | 上の前歯が出ているのが気になる |
| 診断名 | 叢生および下顎骨劣成長を伴う骨格性上顎前突 |
| 治療計画 使用した主な装置 |
混合歯列期矯正 (Ⅰ期治療 ):FKO 永久歯列期矯正 (Ⅱ期治療 ):非抜歯、マルチブラケット装置 |
| 治療期間 | 3年 |
| 治療回数 | 60回 |
| 治療費 | 混合歯列期矯正 (Ⅰ期治療 ) + 永久歯列期矯正 ( Ⅱ期治療 )¥770,000 |
| リスク、副作用 | 痛み、歯肉退縮、歯根吸収、後戻り、齲蝕など |
| ※治療費は消費税込みの料金です |
下顎前突(受け口)の治療
下の歯が前に出て、受け口になっている状態
4才女性、受け口が気になることを気にされて来院。 矯正検査の結果、上顎骨劣成長を伴う骨格性下顎前突症例と診断。治療計画は、乳歯列期矯正 ( 0期治療 ) により上顎前方牽引装置を使用して骨格の成長誘導を行い、下顎前突の改善を行った。
治療前



下顎骨が前に出て、上下前歯の咬みあわせが逆になっている状態であった。
0期治療中



0期治療では、上顎前方牽引装置およびバイトブロック装置を使用して、上顎の成長誘導を行い、前歯の咬み合わせの改善を行った。
0期治療終了



0期治療終了時、上下前歯の咬み合わせが改善した。今後は、永久前歯の生え変わり時期まで経過観察とした。
| 年齢 | 4才、女性 |
|---|---|
| 主訴 | 受け口が気になる |
| 診断名 | 上顎骨劣成長を伴う骨格性下顎前突症例 |
| 治療計画 使用した主な装置 |
乳歯列期矯正 ( 0期治療 ):上顎前方牽引装置、バイトブロック装置、非抜歯 |
| 治療期間 | 5ヵ月 |
| 治療回数 | 10回 |
| 治療費 | 乳歯列期矯正 ( 0期治療 ) ¥220,000 |
| リスク、副作用 | 痛み、齲蝕など |
| ※治療費は消費税込みの料金です |
下顎前突(受け口)の治療
下の歯が前に出て、受け口になっている状態
8才男性、学校検診で受け口を指摘されて来院された。 矯正検査の結果、叢生および骨格性下顎前突症例と診断。治療計画は、混合歯列期矯正 (Ⅰ期治療 ) と永久歯列期矯正 (Ⅱ期治療 ) に分け、Ⅰ期治療では、上顎前方牽引装置を使用して骨格の成長誘導を行い、Ⅱ期治療では、叢生解消のため、上下顎第一小臼歯抜歯、マルチブラケット装置を使用し、歯の排列を行った。
治療前



下顎骨が前に出て、上下前歯の咬みあわせが逆になっている状態であった。
Ⅰ期治療開始



上顎前方牽引装置および急速拡大装置を使用して、上顎骨を側方と前方へ成長促進させ、前歯の咬み合わせの改善を行った。
Ⅰ期治療終了



Ⅰ期治療終了時、上下前歯の咬み合わせが改善された。
Ⅱ期治療開始



歯を並べるスペースを確保するため、上下顎第一小臼歯を抜歯した。また、 下顎骨の成長を認めたため、上顎前方牽引装置を継続して、上顎骨の成長 促進を行った。
Ⅱ期治療中



マルチブラケット装置を使用し、歯列排列を開始した。依然として、下顎骨の成長を認めるため、上顎前方牽引装置を継続することにした。
Ⅱ期治療終了



Ⅱ期治療終了時、きれいな歯並びとしっかりした咬み合わせが得られた。
| 年齢 | 8才、男性 |
|---|---|
| 主訴 | 学校検診で受け口を指摘された |
| 診断名 | 叢生および骨格性下顎前突症例 |
| 治療計画 使用した主な装置 |
混合歯列矯正 (Ⅰ期治療 ) :上顎前方牽引装置、急速拡大装置 永久歯列矯正 (Ⅱ期治療 ):上下顎第一小臼歯抜歯、マルチブラケット装置 |
| 治療期間 | 5年 |
| 治療回数 | 70回 |
| 治療費 | 混合歯列期矯正 (Ⅰ期治療 ) + 永久歯列期矯正 (Ⅱ期治療 ):¥ 770,000 抜歯料金 ( 自費 ) : ¥ 8,800 |
| リスク、副作用 | 痛み、歯肉退縮、歯根吸収、後戻り、齲蝕など |
| ※治療費は消費税込みの料金です |
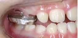
叢生(乱杭歯)の治療
歯が重なりあって生えている状態
10才女性、前歯のガタガタを気にされて来院。矯正検査の結果、叢生症例と診断。治療計画は、永久歯列期矯正 (Ⅱ期治療 ) により、上下顎第一小臼歯を抜歯、マルチブラケット装置を使用し、咬合の確立を行った。
治療前



上下顎骨が小さく、歯の大きさと調和がとれていなかった。そのため、上下顎前歯 が重なり合い、凸凹 ( でこぼこ ) した状態であった。また、上下顎前歯の中心もずれていた。
Ⅱ期治療治療中



上下顎第一小臼歯を抜歯後、マルチブラケット装置を使用し、凸凹 を整え、抜歯した歯のスペースを閉鎖した。
Ⅱ期治療終了



Ⅱ期治療終了時、凸凹 は改善された。上下顎前歯の中心も整えられ、きれいな歯並びとしっかりした咬み合わせが得られた。
| 年齢 | 10才、女性 |
|---|---|
| 主訴 | 前歯のガタガタが気になる |
| 診断名 | 叢生症例 |
| 治療計画 使用した主な装置 |
永久歯列矯正 ( Ⅱ期治療 ):上下顎第一小臼歯抜歯、マルチブラケット装置 |
| 治療期間 | 2年8ヵ月 |
| 治療回数 | 40回 |
| 治療費 | 永久歯列 ( Ⅱ期 ) 矯正:¥ 770,000 抜歯料金 ( 自費 ) : ¥ 8,800 |
| リスク、副作用 | 痛み、歯肉退縮、歯根吸収、後戻り、齲蝕など |
| ※治療費は消費税込みの料金です |
開咬の治療
前の歯に隙間が生じている状態
8才女性、前歯の隙間を気にされて来院された。 矯正検査の結果、指しゃぶり・舌癖および叢生を伴う開咬突症例と診断。治療計画は、混合歯列期矯正 (Ⅰ期治療 ) と永久歯列期矯正 (Ⅱ期治療 ) に分け、Ⅰ期治療では、口腔習癖中止支援、口腔筋機能療法 ( MFT ) を行った。Ⅱ期治療では、叢生解消のため、上下顎第一小臼歯抜歯、マルチブラケット装置を使用し、歯の排列を行った。
治療前



上下顎前歯が咬み合わず、開咬を認めた。指しゃぶりおよび舌を突出させる癖が原因であった。指しゃぶり、舌癖の改善のため、口腔習癖中止支援、口腔筋機能療法 ( MFT ) を行った。
*口腔筋機能療法 ( MFT ) :お口の周りを取り囲む筋肉(口唇・頬・舌)が正しく機能できるように筋肉のバランスを整えるトレーニング。
Ⅰ期治療終了



指しゃぶりを中止したことおよびMFTの効果が出たため、上下顎前歯が咬むようになった。また、正しい舌の位置を習得することができた。
Ⅱ期治療開始



叢生を認めた。歯を並べるスペースを確保するため、上下顎第一小臼歯を抜歯する予定とした。
Ⅱ期治療開始



上下顎第一小臼歯を抜歯し、叢生を解消した。
Ⅱ期治療中



マルチブラケット装置を使用し、抜歯した歯のスペースを閉鎖および歯の並びを整えた。
Ⅱ期治療終了



Ⅱ期治療終了時、きれいな歯並びとしっかりした咬み合わせが得られた。上下前歯の咬みあわせが後戻りすることなく、治療を終了することができた。
| 年齢 | 8才、女性 |
|---|---|
| 主訴 | 前歯の隙間が気になる |
| 診断名 | 指しゃぶり・舌癖および叢生を伴う開咬突症例 |
| 治療計画 使用した主な装置 |
混合歯列)矯正 (Ⅰ期治療 ) 矯正:口腔習癖中止支援、口腔筋機能療法 ( MFT ) 永久歯列)矯正 ( Ⅱ期治療 ) :上下顎第一小臼歯抜歯、マルチブラケット装置 |
| 治療期間 | 7年 |
| 治療回数 | 80回 |
| 治療費 | 混合歯列期矯正 (Ⅰ期治療 ) + 永久歯列期矯正 ( Ⅱ 期治療 ) :¥ 880,000 抜歯料金 ( 自費 ) : ¥ 8,800 |
| リスク、副作用 | 痛み、歯肉退縮、歯根吸収、後戻り、齲蝕など |
| ※治療費は消費税込みの料金です |
